Analiza intencji wyszukiwania dla hasła "złamanie nasady bliższej kości ramiennej" wskazuje jednoznacznie na dominującą potrzebę informacyjną. Użytkownicy, którzy wpisują tę frazę, to najczęściej pacjenci lub ich bliscy, którzy otrzymali taką diagnozę i poszukują kompleksowych, wiarygodnych informacji na temat urazu. Mogą odczuwać niepokój i potrzebują zrozumieć, co ich czeka. Artykuł musi zatem szczegółowo odpowiedzieć na pytania dotyczące tego, czym jest złamanie, jakie są jego przyczyny i objawy, jak wygląda diagnoza i leczenie, jak przebiega rehabilitacja oraz jakie są możliwe powikłania.
Złamanie nasady bliższej kości ramiennej to częsty uraz barku wymagający kompleksowego leczenia
- Złamanie nasady bliższej kości ramiennej stanowi około połowę wszystkich złamań kości ramiennej.
- Najczęściej dotyka osoby starsze z osteoporozą, zwykle po upadku na wyprostowaną rękę.
- Główne objawy to silny ból, obrzęk, krwiak i niemożność poruszania ramieniem.
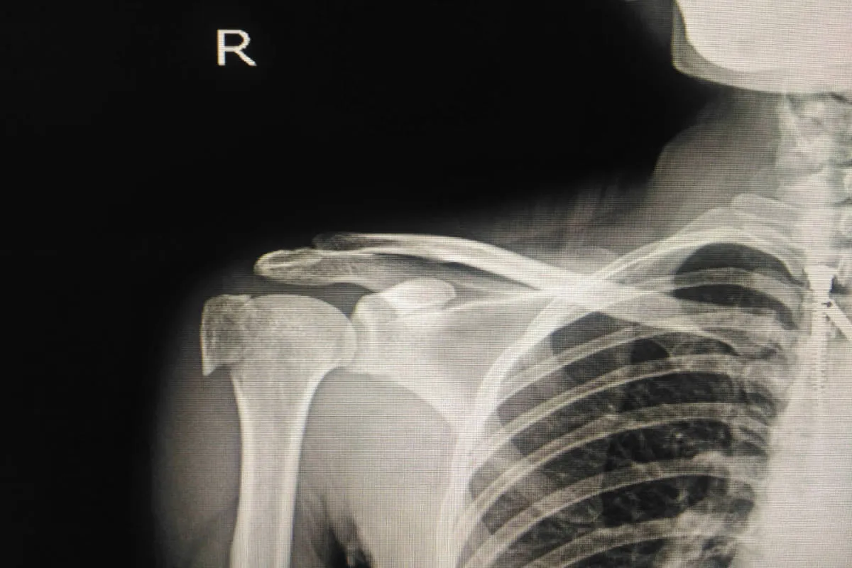
- Diagnoza opiera się na RTG, a w skomplikowanych przypadkach na TK.
- Leczenie może być zachowawcze (unieruchomienie) lub operacyjne (zespolenie, endoprotezoplastyka).
- Rehabilitacja jest kluczowa i rozpoczyna się wcześnie, a pełny powrót do sprawności może trwać do roku.

Złamanie w okolicy barku – co dokładnie oznacza ta diagnoza?
Złamanie nasady bliższej kości ramiennej to uraz, który dotyczy górnej części kości tworzącej ramię, tej znajdującej się najbliżej stawu barkowego. Jest to jeden z najczęstszych urazów w obrębie barku, stanowiący około połowy wszystkich złamań kości ramiennej. Aby lepiej zrozumieć, gdzie dokładnie doszło do urazu, warto przypomnieć sobie podstawową anatomię barku. Kość ramienna, która łączy łopatkę z kością łokciową, posiada na swoim górnym końcu tak zwaną nasadę bliższą. W jej skład wchodzą:
- Głowa kości ramiennej okrągła część, która łączy się z panewką łopatki, tworząc staw ramienny.
- Szyjka anatomiczna wąskie przewężenie bezpośrednio poniżej głowy kości ramiennej.
- Guzek większy i guzek mniejszy wystające części kości, do których przyczepiają się mięśnie stożka rotatorów, odpowiedzialne za ruchomość i stabilizację barku.
- Szyjka chirurgiczna obszar poniżej guzków, często miejsce złamania, nazwane tak ze względu na częste urazy w tej okolicy.
Złamanie może przybierać różne formy od niewielkiego pęknięcia kości, przez oderwanie guzka, aż po poważne, wieloodłamowe złamania głowy i szyjki kości ramiennej. W opisie badania radiologicznego możemy spotkać się z terminami takimi jak "złamanie szyjki chirurgicznej" czy "złamanie przezpanewkowe", które precyzują lokalizację i charakter urazu.
Dlaczego dochodzi do tego urazu i kto jest najbardziej narażony?
Najczęstszym mechanizmem prowadzącym do złamania nasady bliższej kości ramiennej jest upadek na wyprostowaną rękę. Siła uderzenia przenosi się przez całą kończynę, powodując przeciążenie i pęknięcie kości w jej najsłabszym punkcie. Z tego powodu uraz ten jest szczególnie powszechny wśród osób starszych. W tej grupie wiekowej, zwłaszcza u kobiet po menopauzie, często występuje osteoporoza schorzenie charakteryzujące się obniżoną gęstością kości, co czyni je bardziej kruchymi i podatnymi na złamania nawet przy niewielkim urazie. U osób młodszych, ze zdrowszymi kośćmi, do złamania nasady bliższej kości ramiennej zazwyczaj dochodzi w wyniku bardziej dramatycznych zdarzeń, takich jak wypadki komunikacyjne (np. podczas jazdy na rowerze czy motocyklu) lub podczas uprawiania sportów wymagających dużej aktywności fizycznej, gdzie ryzyko upadku jest wyższe.
Objawy, które powinny Cię zaniepokoić i jak wygląda postawienie diagnozy?
Jeśli podejrzewasz u siebie złamanie nasady bliższej kości ramiennej, powinieneś zwrócić uwagę na kilka charakterystycznych objawów. Przede wszystkim jest to silny, nagły ból w okolicy barku, który nasila się przy próbie ruchu. Często towarzyszy mu obrzęk i pojawienie się krwiaka, który może rozprzestrzeniać się w dół ramienia. Bardzo niepokojącym symptomem jest również znaczne ograniczenie ruchomości niemożność uniesienia ręki, obrócenia nią czy nawet wykonania jakiegokolwiek ruchu. W niektórych przypadkach może dojść do widocznego skrócenia kończyny lub zmiany jej osi.
Po zgłoszeniu się do lekarza, pierwszym krokiem jest dokładne badanie fizykalne, podczas którego lekarz ocenia bolesność, obrzęk i zakres ruchu. Następnie kluczowe jest wykonanie badań obrazowych. Podstawowym badaniem jest zdjęcie rentgenowskie (RTG), które zazwyczaj pozwala na jednoznaczną diagnozę i ocenę lokalizacji oraz charakteru złamania. W przypadkach bardziej skomplikowanych, gdy złamanie jest wieloodłamowe lub dotyczy stawu, lekarz może zlecić tomografię komputerową (TK). Badanie to dostarcza bardziej szczegółowych informacji o trójwymiarowej budowie złamania, co jest niezwykle ważne przy planowaniu dalszego leczenia, zwłaszcza operacyjnego.
Kluczowa decyzja: leczenie bez skalpela czy operacja?
Po postawieniu diagnozy lekarz wraz z pacjentem podejmuje decyzję o najlepszej metodzie leczenia. W przypadku złamania nasady bliższej kości ramiennej dostępne są dwie główne ścieżki: leczenie zachowawcze i leczenie operacyjne. Wybór zależy od wielu czynników, takich jak rodzaj złamania, stopień przemieszczenia odłamów kostnych, wiek pacjenta, jego ogólny stan zdrowia oraz poziom aktywności fizycznej.Leczenie zachowawcze
Ta metoda jest stosowana w około 80% przypadków i jest zarezerwowana dla złamań, w których odłamy kostne nie zostały znacząco przemieszczone lub są zaklinowane. Polega ona na unieruchomieniu uszkodzonej kończyny. Najczęściej stosuje się w tym celu specjalną ortezę barkową lub tradycyjny temblak Desaulta, który podtrzymuje ramię i ogranicza jego ruchomość. Unieruchomienie trwa zazwyczaj od 3 do 6 tygodni, w zależności od tempa gojenia się kości. W tym okresie kluczowe jest oszczędzanie kończyny i unikanie obciążeń.
Przeczytaj również: Pozytywna opinia biegłego lekarza sądowego - Jak ją uzyskać?
Leczenie operacyjne
Interwencja chirurgiczna jest konieczna, gdy mamy do czynienia ze złamaniami z istotnym przemieszczeniem odłamów kostnych, złamaniami wieloodłamowymi, które mogą prowadzić do deformacji, lub złamaniami wewnątrzstawowymi, które mogą skutkować rozwojem zmian zwyrodnieniowych. Istnieje kilka technik operacyjnych:
- Zespolenie drutami Kirschnera lub śrubami: Metoda stosowana w przypadku mniejszych odłamów lub złamań stabilnych.
- Stabilizacja za pomocą płytek i śrub: Jest to obecnie jedna z najczęściej stosowanych metod. Specjalne tytanowe płytki (np. popularna płyta Philos) są przykręcane do kości, stabilizując odłamy i umożliwiając wczesne rozpoczęcie rehabilitacji.
- Endoprotezoplastyka stawu: W najcięższych przypadkach, zwłaszcza u osób starszych z zaawansowaną osteoporozą i bardzo poważnym uszkodzeniem głowy kości ramiennej, konieczna może być całkowita lub częściowa wymiana stawu barkowego na sztuczną protezę.
Decyzja o wyborze metody leczenia jest zawsze indywidualna i podejmowana po dokładnej analizie stanu pacjenta i charakteru urazu.
Droga do sprawności: jak wygląda rehabilitacja po złamaniu barku?
Niezależnie od tego, czy leczenie było zachowawcze, czy operacyjne, rehabilitacja odgrywa kluczową rolę w powrocie do pełnej sprawności po złamaniu nasady bliższej kości ramiennej. Proces ten powinien rozpocząć się jak najwcześniej. Już w okresie unieruchomienia, pod okiem fizjoterapeuty, pacjent może wykonywać proste ćwiczenia dłoni, nadgarstka i łokcia, aby zapobiec ich zesztywnieniu i poprawić krążenie.
Po zdjęciu ortezy lub wygojeniu się rany pooperacyjnej rozpoczyna się właściwa fizjoterapia. Proces ten można podzielić na kilka etapów:
- Ćwiczenia bierne: Fizjoterapeuta delikatnie porusza ramieniem pacjenta, aby stopniowo przywrócić zakres ruchu w stawie, nie obciążając go nadmiernie.
- Ćwiczenia czynne wspomagane: Pacjent zaczyna aktywnie poruszać ramieniem, z pomocą fizjoterapeuty lub przy użyciu bloczków i linek.
- Ćwiczenia czynne wolne: Pacjent samodzielnie wykonuje ruchy w stawie, starając się osiągnąć pełny zakres ruchu we wszystkich płaszczyznach.
- Ćwiczenia wzmacniające: Po odzyskaniu podstawowej ruchomości, skupiamy się na wzmacnianiu mięśni otaczających staw barkowy, zwłaszcza mięśni stożka rotatorów, które są kluczowe dla stabilności i funkcji ramienia.
- Powrót do aktywności: Stopniowo wprowadzane są ćwiczenia imitujące codzienne czynności i aktywności zawodowe lub sportowe, przygotowując bark do pełnego obciążenia.
Czas gojenia się kości wynosi zazwyczaj około 4-6 tygodni, jednak pełny powrót do sprawności, odzyskanie pełnej siły i zakresu ruchu, może potrwać od kilku miesięcy do nawet roku. Kluczowe jest cierpliwość i systematyczność w ćwiczeniach. Przykładowe, bezpieczne ćwiczenia, które można rozpocząć po konsultacji z fizjoterapeutą, to:
- Wahadłowe ruchy ramieniem: Stojąc lekko pochylonym do przodu, pozwól ramieniu swobodnie zwisać i wykonuj delikatne, okrężne ruchy.
- Unoszenie ramienia w przód (z pomocą drugiej ręki lub gumy): Stopniowo zwiększaj zakres ruchu, nie powodując bólu.
- Ćwiczenia z gumą oporową: W późniejszym etapie rehabilitacji, gumy są świetnym narzędziem do wzmacniania mięśni rotujących ramię.
Pamiętaj, że zawsze należy wykonywać ćwiczenia zgodnie z zaleceniami specjalisty i unikać ruchów, które powodują silny ból.
Możliwe powikłania i rokowania: na co zwrócić uwagę w procesie leczenia?
Choć współczesne metody leczenia i rehabilitacji przynoszą zazwyczaj dobre rezultaty, po złamaniu nasady bliższej kości ramiennej mogą pojawić się pewne powikłania. Jednym z najczęstszych jest ograniczenie ruchomości stawu barkowego, znane potocznie jako "bark zamrożony". Stan ten charakteryzuje się postępującym bólem i znacznym ograniczeniem zakresu ruchu, zarówno czynnego, jak i biernego. Na szczęście, odpowiednio wcześnie rozpoczęta i prowadzona rehabilitacja, skupiająca się na stopniowym przywracaniu ruchomości i zapobieganiu zrostom, jest najskuteczniejszą metodą zapobiegania temu powikłaniu.
Rzadsze, ale potencjalnie poważniejsze powikłania to:
- Uszkodzenie nerwów: W okolicy barku przebiegają ważne nerwy, które mogą zostać uszkodzone podczas urazu lub operacji. Może to prowadzić do osłabienia mięśni lub zaburzeń czucia w obrębie kończyny.
- Martwica głowy kości ramiennej: W niektórych typach złamań, zwłaszcza tych z przemieszczeniem, może dojść do przerwania ukrwienia głowy kości ramiennej, co prowadzi do jej obumarcia.
- Zakażenie: Jak po każdym zabiegu chirurgicznym, istnieje ryzyko infekcji.
- Niestabilność stawu: W przypadku uszkodzenia więzadeł lub nieprawidłowego zrostu kostnego, staw barkowy może stać się niestabilny.
Rokowania po złamaniu nasady bliższej kości ramiennej są zazwyczaj dobre, szczególnie u młodszych i aktywnych pacjentów, którzy sumiennie przestrzegają zaleceń lekarskich i fizjoterapeutycznych. Powrót do pełnej sprawności, umożliwiający wykonywanie codziennych czynności bez ograniczeń, jest jak najbardziej możliwy. Sukces leczenia zależy od wielu czynników, w tym od wieku pacjenta, jego ogólnego stanu zdrowia, rozległości urazu, zastosowanej metody leczenia i przede wszystkim od jakości i systematyczności przeprowadzonej rehabilitacji. Wczesne rozpoczęcie ćwiczeń i konsekwentne dążenie do celu są kluczowe dla osiągnięcia najlepszych możliwych wyników.
